When it comes to oral and maxillofacial surgery, no two cases are the same. Complex cases involving large defects, minimal bone availability, or post-surgical reconstruction challenges demand meticulous planning.
One of the revolutionary tools making this possible today is 3D printing. By converting patient scans into accurate anatomical models, surgeons can rehearse procedures through mock surgeries, minimizing uncertainties and maximizing successful outcomes.
At Dental Orb, we recently handled a challenging case that highlighted the real-world impact of this technology.
Managing a Mucormycosis Patient with Severe Maxillary Defect
Three years ago, a patient had undergone maxillectomy (surgical removal of the upper jaw) due to invasive mucormycosis. Following surgery, a metal-reinforced denture was provided to cover and restore the defect. However, the patient returned to us recently with a fractured denture and requested a more permanent solution.
The situation presented several challenges:
- The patient was reluctant to undergo patient-specific implant reconstruction.
- Basal implants remained the only viable option.
- The available bone support was minimal, making conventional planning insufficient.
This was clearly not a straightforward case.


The Role of 3D Printing in Surgical Planning
To tackle the complexity, the decision was made to create a 3D-printed maxillary model. This model, based on the patient’s CT scan, served as an exact replica of the residual bone and defect. The oral surgeon then performed a mock surgery on the printed model to assess:
- Feasibility of implant placement.
- Strength and suitability of anatomical areas.
- Possible complications during actual surgery.

The mock surgery revealed key findings:
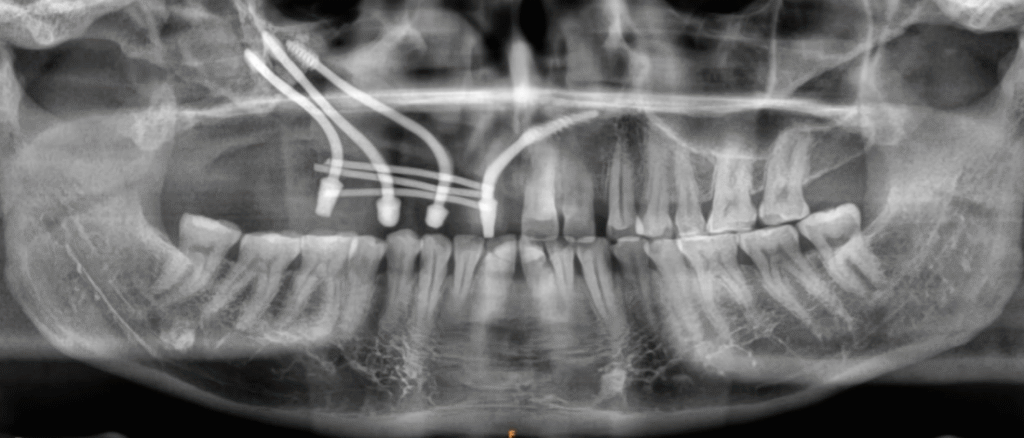
- Placement of three zygomatic implants was possible — something rarely attempted and only confirmed during the model-based rehearsal.
- A single conventional implant could be placed in the incisor region.
- Pterygoid implants were ruled out due to weak bone and lack of tuberosity support.
This pre-planning ensured that every step of the actual surgery was predictable and efficient.

The Surgical Outcome
With the blueprint provided by the mock surgery, the team executed the final procedure with confidence. The implants were placed precisely as rehearsed:
- Three zygomatic implants,
- One anterior implant, securing sufficient support for a permanent prosthetic solution.
The patient’s treatment was ultimately a success — not by trial and error but through science, technology, and meticulous rehearsal.

Why 3D Printing is a Game-Changer in Dentistry
This case is a testament to how 3D-printed models enhance surgical outcomes. Benefits include:
- Better visualization of anatomical defects.
- Rehearsal of complex procedures via mock surgeries.
- Reduced intraoperative surprises, giving surgeons greater confidence.
- Improved communication with patients, who can see their condition and proposed treatment more clearly.
In situations where treatment planning is uncertain, 3D models act as a bridge between imaging and reality.

Our Role at Dental Orb
At Dental Orb, we specialize in providing high-precision anatomical models for dental and maxillofacial applications. Whether it is for mock surgeries, teaching purposes, or treatment planning, our 3D-printed models offer a decisive edge in managing complex cases.
If you are a surgeon or a patient facing challenging dental conditions, our models can help translate planning into predictable success.
Get in touch with us
Explore how 3D printing can enhance your practice. For more details contact us!
- Steiner’s Analysis – Free online Cephalometry - November 23, 2025
- A Complete guide to Grayscale values in CT & CBCT - November 15, 2025
- Struggling to get your old PC to run new Radiology software smoothly? Here’s a trick with SSD that might save you. - November 14, 2025

